沖縄県医師会 > 沖縄県医師会の活動 > 医師会報 > 7月号

ヒト咬傷について

岩田友希江

豊見城中央病院 整形外科 岩田友希江
救急部 原田 宏

はじめに

救急医療で遭遇する咬傷のなかでも、ヒト咬 傷の占める割合は犬・猫咬傷と比較しても頻度 が高く、また重篤な化膿性骨・関節炎に至るこ とが多い。患者側が受傷機転を詐称することも あり、そのために治療機会を逸した症例もしば しば見受けられる。受傷部位や臨床所見から、 ヒト咬傷の可能性を予測しながら治療に当たる ことが望まれる。

疫学

全年齢層において、ヒト口腔内細菌による感 染の可能性はある。乳幼児や高齢者では指しゃ ぶりや爪噛み癖から感染する。若者や中年では 拳で他人の顔面を殴ったり、性行為で感染する 場合もある。受傷理由を隠すため、患者が詐称 し治療が遅れることがしばしば見受けられる。

また、我々医療従事者は、攻撃的な患者を扱 う場面が多々あり、噛みつかれて感染したり、 レスピレーターなどの上気道に挿入された器具 を扱うことから感染することもある。

細菌学

口腔内からは、40種以上の細菌叢が培養され る。様々な好気・嫌気性のグラム陽性・陰性菌 が確認される。また、あまり知られてはいない がB型肝炎や単純ヘルペスウィルスによる軟部 組織感染も存在する。

HIVやC型肝炎ウィルスは通常唾液には見い だされないため、これらに感染することはほと んどないが、ヒト咬傷よりHCVに感染した症 例報告も存在する。

診断と治療

裂傷に蜂窩織炎を伴っていたり、患者から受 傷機転の詳細を聞くことができれば診断は容易 である。

受傷直後で、まだ炎症が波及していない状態 の患者には注意が必要である。ヒト咬傷を常に 疑い、経過観察を必ず行う。ひとたび蜂窩織炎 を発症した場合は、緊急で外科的洗浄が必要と なる。その際の膿や深部組織の培養で確定診断 がつき、使用抗生剤の選択の助けとなる。

また単純レントゲン撮影は非常に有用であ る。関節内で骨に当たって折れたヒトの歯の破片が見つかることもある。化膿性関節炎・骨髄 炎の早期発見のためにも必須である。

WBCやCRPなどの血液学的所見は軽度な上 昇でとどまることが多く、感染否定の根拠には ならない。腫脹、発赤、局所熱感、疼痛など臨 床所見が重要である。

特に救急外来で、蜂窩織炎を伴った咬傷に対 し、表面のみの洗浄で縫合処置を施され、重篤 な感染症に至る場合がある。ヒト、犬・猫咬傷 による感染は深部軟部組織や関節内に至ってい ることが多く、手術室での専門医による外科的 洗浄でなければ、これら深部まで洗浄すること は不可能である。(図1)

図1

図1.相手の歯が関節包まで達する。
 その後、指を伸展すると損傷された関節腔が隠されるため、 創からの洗浄では感染創まで洗浄することはできない。

救急外来ではどんなに大量の水を用いても、 浅層のみしか洗浄できていないことを周知して 処置にあたるべきである。

最後に、当院で経験した、重篤な障害を残し たヒト咬傷の一例を紹介する。このような転帰 とならぬよう、日常診療の一助になれば幸いで ある。

症例:15才男性

経過: H18/11/11右手中指MP関節背側に2cm程度の裂創を受傷し、前医にて縫合処置施行された。 前医には壁を殴り受傷したと申告している。

11/14創部に熱感、腫脹、排膿出現。疼痛の ため中指の可動域制限あり。

11/18 再度救急外来受診。縫合糸が抜け落 ちて創部開離あり。局麻下にて表層のデブリー ドメントのみ行われた。以降、専門医へのコン サルトなく11/24まで漫然と抗生剤点滴施行。 11/25 に症状増悪のため当院整形外科紹介あ り。患者本人を問いただし、喧嘩をしてヒトを 殴った際のヒト咬傷であったと確認。

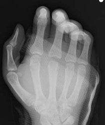
11/18 のXp(図2)と比較し、11/25 のXp (図3-1,2)では第3中手骨骨頭が融解しており、 同日緊急で外科的洗浄施行。化膿性関節炎から 中手骨骨頭は腐骨と化しており、切除せざるを 得なかった。

術後は速やかに感染鎮静化したが、中指MP 関節の可動域制限を残し、治癒となった。(図4)

図2

図2.11/18のXp

図3-1

図3-1.11/25のXp

図3-2

図3-2.11/25のXp

図4-1

図4-1.術後Xp

図4-2

図4-2.術後Xp