沖縄県医師会 > 沖縄県医師会の活動 > 医師会報 > 1月号

膀胱癌の動注療法
−膀胱温存の試み−

中頭病院・泌尿器科
島袋善盛、大西弘重、新里 博、大山 朝弘

【要旨】

(目的)膀胱癌で膀胱全摘除術に同意しない、合併疾患で手術出来ない症例にTUR を行い、独自に考案した動注リザーバーシステムを埋めこんで薬剤を低用量、維持 投与を長期に行い、膀胱温存を図った。

(対象)膀胱癌(移行上皮癌)36 例中、平均年齢70 歳(40 〜 85)男性26 例、女 性10 例である。

(方法)TUR 後に、外来で動注化学療法を2 〜 4 週毎にMTX 20mg、THP 20mg、CDDP 25mg の3 剤を維持投与で2 年間をめどに行い、6 カ月後にTUR 生検で治療評価を行った。有効例は治療を継続して、無効例は全摘術をすすめた。

(成績)平均観察期間は50 カ月で、平均動注回数26 回(9 〜 65)、平均動注期間18 カ月(6 〜 36)である。36 例中28 例がCR で77.7 %に相当する。

表在癌4 例を除外すると、浸潤癌のCR 率は実に75 %にあたる。

病期毎の平均CR 期間はT1 66 カ月、T2 46 カ月、T3 57 カ月、T4 症例では 実に113 カ月である。浸潤癌の平均CR 期間は72 カ月となる。T1 の1 例に萎縮膀 胱となり全摘術施行。膀胱温存率は96 %になる。観察期間後の予後では20 年目に 電話での追跡調査を加味すると消息不明3 例、膀胱癌死はなかった。生存例では累 積で3 年以上21 例(75 %)、5 年以上16 例(57 %)10 年以上7 例(25 %)であ る。最長生存例はT3 症例で12 年である。

(結論)我々は20 年前から、TUR で腫瘍を可及的に切除して、低容量、長期維持 投与で動注療法を行い、浸潤癌でもCR 期間、生存期間の良好な結果が得られた。 とくに、膀胱温存もできて高齢者に多大な貢献となった。

キーワード 膀胱癌、動注カテーテル埋め込み、動注療法、膀胱温存

T初めに

浸潤性膀胱癌の標準的治療は膀胱全摘除術 (以下全摘術)である。しかし、手術はかなり の侵襲で、尿路変更術も伴いQOL の低下も招 く。最近は腸管で代用膀胱を造設して、尿道に 吻合する新膀胱造設術が行われているが、色々 と問題も多く、本来の膀胱機能に及ぶものでは ない。そのため、手術に同意しない症例や合併 症で手術出来ない症例も多い。さらに、最初か ら積極的に膀胱を温存する機運もある。

膀胱温存療法として、経尿道的切除術(以下 TUR)後に化学療法、放射線療法の三位一体 の治療が一般的である。しかし、まだ確立され た方法ではなく、各施設で様々な方法がおこなわれている。とくに、放射線併用で無効な場合 は手術が困難となる。

1990 年以来、独自の方法でTUR 後に動注リ ザーバーを埋めこみ、薬剤を低用量、長期維持 投与の動注療法で膀胱温存を試みたので報告す る。なお、県内の他の施設では動注療法はあま りおこなわれていない。

U対象

前施設の浦添総合病院で1990 年から現在の 中頭病院での2009 年4 月まで約20 年の長きに わたり、全摘術に同意しない症例と様々な合併 症をもった症例に動注療法を53 例に行ったが、 ドロップアウトした症例も多かった。

治療評価は6 カ月目にTUR 生検を行うので、 6 カ月未満症例や扁平上皮癌、小細胞癌等を含 む17 例を除外して、移行上皮癌36 例のみとし た。表在癌であるが中途から浸潤癌に進展しや すい、ハイリスクのT1、G3、リンパ管ないし 脈管侵襲例も対象例に加えた。

表1 患者背景

表1

対象は高齢者が多く、男性に多い。

異型度はハイリスクのG3 が50 %にみられ た。局所進行癌も多く、16 例にみられた。な お、T4 例では男性は前立腺への浸潤3 例、女 性では膣壁への浸潤1 例であった。

T2 例とT3 〜 T4 例は同数であった。

以下に日本泌尿器科学会膀胱癌取り扱い規約 に則って、固有組織学的異型度、病理学的病期 を示す。

表2

表2

V方法

治療のコンセプト

1)腫瘍を可及的ないし脂肪がみえるまで切除す るComplete TUR を行う。

2)化学療法を頻回に行うため、動注リザーバー システムを埋め込む。

3)外来で2 〜 4 週毎に薬剤を注入して、2 年間 をめどにおこなう。

4)6 カ月後にTUR 生検で治療評価を行う。無 効な場合、全摘術をすすめる。

図1

図1 動脈内カテーテル設置とリザーバー接続

腫瘍が偏側性の場合には、腫瘍側の大腿動脈 をセルジンガー法で骨盤動脈造影を行い、薬剤 を多く腫瘍側に流入させるため、大臀動脈をコ イルで塞栓して、血流改変を行う。アンスロン カテーテルを内腸骨動脈に設置する。

次いで、ソケイ部でカテーテルをループ状に して、腸骨稜あたりの皮下組織にリザーバーを 埋め込んで、カテーテルと接続する。あぐらを かいてもカテーテルが屈曲しないように考案した。腫瘍が多発性の場合にはカテーテルを腹部 大動脈分岐部直上に設置して、動注時には両側 大腿動脈を用手的に圧迫して、リザーバーから 薬剤を注入した。

W使用薬剤

基本的にメソトレキセート(MTX)20mg、 ピノルビン(T H P)2 0 m g、シスプラチン (CDDP)25mg の3 剤を用いた。

X動注療法の実際

実際の治療は外来で2 〜 4 週ごとに行い、下 腹部のリザーバーを手指で確認して、中央部で 動注針を刺入する。まず、生食水を5ml でフラ ッシュする。MTX とTHP はone shot で注入 する。CDDP はシリンジポンプで1 時間かけて 注入した。再度、生食水でフラッシュして、ヘ パリン原液5ml で充填して抜針する。

36 例の動注平均回数は26 回(9 〜 65)、平 均期間は18 ヶ月(6 〜 36)である。65 回、36 ヶ月施行した症例は初回膀胱右側に腫瘍発生し てTUR 施行、1 年後に左側に再発するも全摘 術に同意せず、部分切除術後に左側にも動注し たために多数回、長期間となった。多発性の場 合は用手的に両側大腿動脈を圧迫して注入し た。少量、頻回、維持投与のためメトロノーム 法と自称している。

Y他の治療の併用

表在癌が混在している場合は免疫療法である BCG 膀胱内注入療法も行った。T4 で腺癌混在 例とT3、N1 の2 例に放射戦線療法50Gy 施行 し奏功した。

骨盤内リンパ節転移も消失した。膀胱部分切 除術3 例に施行。

Z治療成績

外来で尿細胞診、エコー、MRI、胸腹部CT、 内視鏡検査、場合によっては軟性鏡下でのラン ダム生検を行いながら、フォローした。

表3 Stage 別平均奏功期間

表3

36 例中28 例に奏功して、77.7 %に相当す る。膀胱温存率は、T1 の1 例に萎縮膀胱をき たし全摘術を施行したので、96 %である。な お、腫瘍は認めなかった。奏功例には遠隔転移 も認めなかった。T2 〜 T4 の浸潤癌は全体の 66.6 %に相当する。進行癌の方が奏功期間も長 い。T4 は前立腺への浸潤2 例と膣壁への浸潤1 例である。

無効は8 例で全体の22.2 %にあたる。全摘 術3 例、膀胱癌死4 例、他因死1 例である。初 期症例に多く、TUR による不十分の切除が一 因になっているかも知れない。

再発は2 例に認め、1 例はG3、T3 症例で6 年目に表在癌がみられ、TUR 後にBCG 膀胱内 注入療法を行った。もう1 例もG3、T1 症例で 6 年目にCIS がみられ、BCG の膀胱内注入を 行い、ともに10 年の生存である。

予後については長期にわたるため、電話での 追跡調査を加味すると3 例が消息不明である。 統計にやや問題があるが、生存例を累積すると 3年以上21 例(75%)、5年以上16 例(57%)、 10 年以上7 例(25 %)である。最長生存例は T3 症例の12 年であった。

[合併症

動注カテーテルの閉塞が25 %ほどにみられ 1 年以内の場合は交換した。

1 年以上では動注療法終了として抜去した。 リサーバー部に感染を起こし、カテーテルを抜 去した後に大腿動脈の刺入部に仮性動脈瘤を形 成する重篤な合併を2 例経験して、心臓血管外 科でグラフト手術してもらった。薬剤による有 害事象はあまりなく、当日に3 〜 4 例が嘔気を 訴えた。1 例にTUR 生検3 回目の後に膀胱後 部膿瘍が発生し、開腹して、膀胱部分切除を施行した1 例を経験した。症例を供覧する。

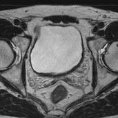
図2

図2

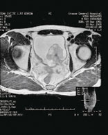
図3

図3

54 歳男性で1 年前から血尿あるも放置してい た。図2 は治療前のMRI で膀胱左側に基部の広 い大きな非乳頭状腫瘍で表面石灰化していた。 Complete TUR 後に動注療法34 回、2 年間施 行する。図3 は治療後のMRI で再発なく、遠隔 転移も認めない。治療開始後4 年目である。

\考察

浸潤性膀胱癌の標準的治療は膀胱全摘除術と されてきた。しかし、手術に同意しない、合併 疾患で手術出来ない症例もいる。全摘術後の5 年生存率も50 〜 60 %とされ、充分とはいえな い。1985 年にSternberg らがM-VAC 療法 で優れた成績を報告以来、現時点では尿路上皮 癌に対する全身化学療法の標準的治療法とされ ている1)。しかし、奏功率は高いものの、持続 期間が短い。骨髄抑制、消化器症状等有害事象 も多い。その頃から化学療法が膀胱に有効であ る事がわかり、Shipley らは手術適応のない浸 潤癌にCDDP のよる化学療法と放射線療法併用 でCR 率77 %を報告している2)。住吉らは動注 リザーバーを埋め込み、動注療法と放射線療法 後にTUR を行こない、好成績をあげている3)。 その後も各施設で様々な方法が行なわれている。

我々は1900 年頃から膀胱内の腫瘍をTUR で 可及的あるいは脂肪組織が見えるまで切除した。

その後に独自の方法で既述した如く、腫瘍側 の大腿動脈から刺入して、内腸骨動脈にカテー テルの先端を設置し出来るだけ短くして、つま りを防ぐ様にした。リザーバーも下腹部に穿刺 しやすい様に埋め込んだ。多発性の場合はカテ ーテル先端を大腿動脈分岐部直上に設置した。

薬剤もMTX 20mg、THP 20mg、CDDP 25mg の低用量とし、高齢者の場合は3 剤とも 10mg とした。ほとんどの症例で放射線療法は 併用せず、2 例のみにおこなった。低用量で長 期に動注療法を行っている施設は少ない。高島 らの報告は動注リザーバーからCDDP 10mg、 THP 10mg と低用量治療を行って浸潤癌54 例 中5 年生存率52 %であった。投与期間は1 年で ある4)

長期、維持投与で行うため、薬剤の耐性化が 懸念されたがCR 例の平均投与回数26 回(6 〜 65)、平均期間18 カ月と長く、薬剤耐性はなか ったものと思われた。また、微小転移の存在が 推測されるT2 〜 T4 の浸潤癌が多いにも関わ らず、治療期間中に遠隔転移がみとめられなか ったので微小転移へも抗癌剤が作用した可能性 がある。

予後については、20 年目に電話での追跡調 査も加味して集計した。消息不明3 例、他因死 3 例、他癌死2 例で膀胱癌死はなかった。統計にやや問題があるが生存期間の累積では3 年以 上21 例(75 %)、5 年以上16 例(57 %)、10 年以上7 例(25 %)である。膀胱温存例も 96 %であった。5 年生存率は全摘術の全国統計 と同等であったが10 年生存例も25 %にみら れ、さらに、遠隔転移例がなく、動注療法によ る少量、維持投与は有効と思われた。

横溝らは膀胱温存療法にはTUR、動注療法 に放射線療法の併用が必須条件としている5)。 しかし、放射線療法まで併用した場合無効例で の全摘術は術後合併症が懸念される。

最近では動注療法ではないが、丹司らは新規 薬剤であるGemicitabin,Docetaxel 等での全身 投与で外来維持化学療法を行うという新しい動 きもでている6)

X結語

我々は20 年も前からTUR 後に動注療法で低 用量、長期維持療法を行い、浸潤癌でも奏功 率、膀胱温存率とも良好な結果を得た。

とくに、高齢者には多大な貢献となった。

なお、膀胱癌の動注療法をサポートして頂い た、前施設の浦添総合病院の泌尿器科外来のス タッフとちばなクリニックの泌尿器科外来、点滴 センターのスタッフに心から感謝申し上げます。

文献
1)Sternberg et al Pleliminary results of M-VAC(meshotrexate,vinblastin Doxorubicin and cisplastin)for TCC of urothelium. J.Urol 133、403 〜 407.1985
2)Shipley et al Treatment of invasive cancer by cisplatin and radiation Unsuited for surgery JAMA 258、931 〜 935、1987
3)住吉義光 浸潤性膀胱癌に対する動注化学、放射線併用療法 泌尿器外科 Vol 6.No12、1193 〜 1197、1993
4)高島澄夫 膀胱癌に対する動注化学療法の工夫 泌尿紀要 45 : 127 〜 131.1999
5)横溝 晃 TUR、動注放射線療法による膀胱温存 泌尿器外科 Vol 20、No、7 845 〜 850、2008
6)丹司 望 化学療法の新たな展開 西日泌尿 70 : 132 〜 136,2008




Q U E S T I O N !

問題:次の内正解はどれか。

  • 1)TUR は開腹手術である。
  • 2)G3.T3 は浸潤癌である。
  • 3)G3.T1 も浸潤眼である。
  • 4)BCG 膀胱内注入療法も抗癌剤治療である。

CORRECT ANSWER! 10月号(vol.45)の正解

高次脳機能障害とは

問題:高次脳機能障害の行政的定義に含まれな いのはどれか

  • 1)遂行機能障害
  • 2)注意障害
  • 3)記憶障害
  • 4)失語

正解 4)