沖縄県医師会 > 沖縄県医師会の活動 > 医師会報 > 3月号

冠攣縮性狭心症の診断・治療について

沖縄県立南部医療センター・こども医療センター循環器科
砂川 長彦

【要旨】

冠攣縮性狭心症は冠動脈の収縮により心筋虚血を来たす病態であり、非発作時の 冠動脈造影では有意狭窄がなく見逃されることがある。喫煙との関連は強く、飲酒、 耐糖能障害、HDL-C 低値、自律神経、遺伝・人種差との関連も示唆されている。 狭心痛は夜間から早朝の安静時に多く、労作では起こりにくい。過呼吸や飲酒で誘 発されることもあるが無症候性もある。完全房室ブロック、心室頻拍、心室細動を 来たし突然死の原因となることがある。診断は発作時の心電図で典型的なST 上昇 を確認するか、冠動脈造影時にエルゴノビンやアセチルコリンで冠攣縮が誘発され ることで確定する。冠攣縮は動脈硬化病変に合併することが知られており、特に禁 煙は重要な治療となる。薬物では一般にCa 拮抗薬や亜硝酸薬が有効であるが、2 種 類以上の薬剤でも効果不十分の場合は治療抵抗性と判断する。その場合は他のCa 拮抗薬への変更や追加、亜硝酸薬、ニコランジルとの併用、ビタミンE やビタミン C の追加などを試みる。冠攣縮で心室細動を来たす場合には植え込み型除細動器植 込が必要な例がある。日本人は夜間の突然死が多く冠攣縮の関与が示唆されており、 その予防には病態を理解し対処する事が重要である。

冠攣縮性狭心症は冠動脈の収縮により一過性 の冠血流低下や途絶を来たし心筋虚血を起こす 疾患である。一般的な労作性狭心症と異なり非 発作時の冠動脈造影では有意な冠動脈狭窄が認 められないため、正確な診断が付かず病態が軽 く見られることがある。しかし十分な治療を行 わないと症状は改善せずQOL の低下が著しく、 場合によっては致死的な転帰となることもあ り、必ずしも予後が良好とは限らない。

この冠動脈の収縮、すなわち攣縮が完全また は亜完全閉塞であれば貫壁性虚血を来たすため 心電図でST 上昇を示す。一般的な労作性狭心 症では心筋虚血は心内膜側から起こるため心電 図ではST 低下を示す。ST 上昇は急性心筋梗 塞などの冠動脈の完全閉塞で見られるため一般 的な狭心症と異なる病態と考え、Prinzmetal らはS T 上昇を示す狭心症を異型狭心症 Variant angina と呼んだ(Am J Med 1959 27; 375)。Prinzmetal は高度狭窄部分に血管 の緊張亢進が加わることで完全閉塞が起こると 考えていた。しかし攣縮は数カ所からびまん性 に高度狭窄がない部分でも起こることがわか り、単なる血管緊張亢進が原因ではないと考え られている。また表在冠動脈の攣縮だけでな く、微小血管機能障害も心筋虚血に関与してい ることも報告されている。冠攣縮の程度によっ ては必ずしもST 上昇ではなくST 低下を示す 場合もあり、この場合は定義上、異型狭心症と は呼べないため、ST 変化に関わらず冠攣縮に よる心筋虚血および狭心症をまとめて冠攣縮性 狭心症と呼ぶことが一般的である。

また以前より冠動脈造影は正常であるが狭心症発作をきたす病態が知られており原因が不明 なためSyndrome X と呼ばれていた。この病態 は狭心症と同様な労作時の胸痛があり、発作時 の心電図や運動負荷心電図で有意なST 低下を 示すが、冠動脈造影で冠動脈は正常でありエル ゴノビンやアセチルコリン負荷でも冠攣縮が証 明されない。この病態の主な原因は冠微小血管 の異常と考えられている。冠動脈造影で見える 表在冠動脈は血管抵抗の約5 %しか関与してい ないことが知られており、心筋血流調節には主 に冠微小血管が関与している。この冠微小血管 の異常により心筋虚血を来すのが微小血管狭心 症であり、冠動脈造影で確認できないため診断 は困難なことがある。

微小血管狭心症の特徴は、

1)閉経後の女性に多い。

2)胸痛の性状や発作時や運動負荷時のST 低下は典型的な狭心症に類似する。

3)労作以外にも安静時に胸痛を示すことが多い。

4)持続時間が10 分以上持続する事が多い。

5)亜硝酸薬の有効性は50 %以下である。

この微小血管狭心症の生命予後は一般に良好 とされているが、繰り返す胸痛で何度も救急室 を受診する例もありQOL の低下が著しい。ま た微小血管狭心症の中には微小血管の攣縮が原 因となる例も知られている。アセチルコリンや エルゴノビン投与中に表在冠動脈には冠攣縮が 認められないのに狭心症状と心電図上ST 低下 を示す場合がある。しかしこの場合でも心筋乳 酸産生や冠血流速度の低下などの心筋虚血が証 明されることが報告されており、微小冠血管の 攣縮が原因と考えられている。

冠攣縮を来たす部位は冠動脈造影で一見正常 に見えても血管内超音波では動脈硬化病変を認 め、また逆に冠攣縮の起こる部位は動脈硬化が 進行しやすいと言われている。このように動脈 硬化と冠攣縮とは関連が深く、さらに急性心筋 梗塞発症にも冠攣縮が関与しているとの報告も ある。心筋梗塞直後の冠動脈造影でも狭窄が軽 度である例や、亜硝酸薬の注入で閉塞が解除さ れる場合があり、冠攣縮の関与が考えられている。さらに冠攣縮が動脈硬化性プラーク破綻の 引き金になると考えられているがはっきりと証 明されていない。

冠攣縮性狭心症の臨床所見は一般的な慢性安 定狭心症や不安定狭心症と異なる特徴を示す (図1)。一般に若年者が多く喫煙以外の古典的 な危険因子がないことが多い。さらに喫煙だけ でなく海外ではコカインなどの薬物中毒もリス クとなることが知られている。その他マリファ ナ、アルコール、覚醒剤も同様にリスクとな る。またレイノー現象や片頭痛などの血管攣縮 による疾患とも関連する。発症には日内変動が あり、特に深夜から早朝にかけて狭心症発作が 増加する。難治性の冠攣縮では致死的な不整脈 を合併することがあり、右冠動脈なら房室ブロ ック、左前下行枝なら心室頻拍や心室細動を来 すことがある。

図1

図1:冠攣縮性狭心症の年代別の患者数を示す。若年ほど器質的狭心症よりも比率が高く、高齢では少なくなっている。

冠攣縮性狭心症の病因

喫煙は冠攣縮の明らかな危険因子である。ま た前述したように海外ではマリファナやコカイ ンが原因となる冠攣縮が報告されている。本邦 でも特に女性は喫煙の影響が強いとされてい る。喫煙は除去可能な因子であり禁煙は重要な 治療方法である。

飲酒も冠攣縮と強く関連している。アルコー ルはマグネシウムの排泄を促進し組織のマグネ シウム欠乏を来たす。マグネシウム静注は冠攣 縮を抑制することが知られており、マグネシウム欠乏は冠攣縮に関与している。そのため飲酒 後に冠攣縮による突然死の報告がある。冠攣縮 性狭心症ではアルコール制限が必要であるがマ グネシウム補充で改善するかは判っていない。

脂質異常症を合併することもあるが、LDLC の増加よりHDL-C の低下が関連するとの報 告もある。また耐糖能障害の合併も多いが、特 に糖尿病よりも耐糖能障害の段階で冠攣縮を来 たしやすいと言われている。動脈硬化が進展し て血管の反応性が悪くなるとむしろ攣縮は起こ り難くなるためと考えられている。

ストレスなどの自律神経機能の異常も関連し ており、アチルコリンにより誘発されることは 副交感神経系の刺激が原因となる可能性がある。

遺伝的要因も指摘されており家族内発症の報 告もある。また人種差もあり、日本人では欧米 人に比べて冠攣縮の頻度が高いことが知られて いる(表1)。ある研究では心筋梗塞後の冠攣 縮誘発率は欧米では11 〜 21 %であるのに日本 人は69 %との報告がある。

表1:日本と欧米での冠攣縮の特徴を比較有意差がある項目を示しているが、日本では器質的狭窄が少なく、多枝冠攣縮が多いが、予後は欧米に比較して良好である。

表1

冠攣縮性狭心症の病態生理

冠攣縮性狭心症はアセチルコリンにより冠攣 縮が高率に誘発されることから冠動脈の内皮細 胞が関与していると考えられている。アセチルコ リンは正常内皮であれば内皮由来血管弛緩因子 であるNO の放出を刺激し血管の拡張を来たす が、内皮障害があればNO が放出されず、直接 ムスカリン受容体を介して冠攣縮を誘発させる。

硝酸薬は体内でNO に変換されるため、血管 内皮障害がありNO 放出が少ない場合には、硝 酸薬の血管拡張作用が強く出現する。

また冠攣縮は血管平滑筋の過収縮が関与して いると考えられている。この平滑筋細胞の収縮 には細胞内Ca 濃度の上昇によるが、最近この 調節機構にRho キナーゼが関与していることが 分かってきた。冠攣縮部位ではRho キナーゼの mRNA が発現しRho キナーゼ活性が亢進する ことが証明され、冠攣縮はRho キナーゼ阻害薬 で抑制できることが認められた。

冠攣縮性狭心症の診断

冠攣縮性に限らず狭心症は病歴で7 割は診断 できると言われている。狭心症は症状の持続が 短いため受診時には症状がないことがほとんど であり、病歴の聴取が重要である。冠攣縮によ る狭心症発作の特徴は通常の労作性狭心症に比 較して症状の持続が長く、冷汗や意識消失を伴 うことがある。また過呼吸や飲酒により誘発さ れることがある。夜間から早朝にかけて安静時 に出現し、日中の労作では誘発されず、日内変 動がある。しかし冠攣縮による狭心発作の6 割 は無症候性と言われており症状だけでは判断で きない。発作に伴なって完全房室ブロック、心 室頻拍、心室細動をきたすことがあり、意識消 失や突然死の原因となる。

身体所見では発作時に虚血による心機能低下 や僧帽弁閉鎖不全によるギャロップや収縮期雑 音が聴取されることがあるが冠攣縮に特徴的な 身体所見はない。

検査では心電図、特にホルター心電図は有用 であり、発作時の心電図と非発作時の心電図を 比較することで診断可能である。

運動負荷検査は一般には器質的な狭心症の除 外のために用いられるが、特殊な病態として運 動誘発性冠攣縮によりST 上昇を伴う狭心症発 作を来たすことがある。しかし冠攣縮性狭心症 の多くは安静時狭心症であり、不安定狭心症を 常に考えて運動負荷検査の必要性を考える。不 安定狭心症に運動負荷を行うと心筋梗塞に進展 する場合があるため運動負荷検査は禁忌であり、また切迫梗塞の場合はST 上昇を示すことがあ り、冠攣縮性狭心症との鑑別が重要である。

その他の冠攣縮の誘発試験には過換気負荷試 験や寒冷昇圧試験などがあり、胸痛と共に心電 図でST 上昇が認められれば診断的価値は高い。 しかし必ずしも感度は高くなく、冠攣縮により 致死的な不整脈や心筋梗塞を来たすことがあり、 緊急時に対応できる準備を行って施行する必要 があり一般臨床ではあまり行われていない。

心筋シンチグラムではI123MIBG 心筋シン チが冠攣縮発作後の心筋交感神経異常のため欠 損像となることが知られている。しかも発作後 しばらく持続し、2 ヶ月の経過後も85 %に異常 を示したとの報告もあり、自然発作の確認しに くい症例では有用である。しかし労作性狭心症 での虚血発作や心筋炎などの心筋障害でも欠損 像となるため特異性は低く、確定診断に用いる のは難しい。

侵襲的検査であるが、冠動脈造影時に行うエ ルゴノビン負荷検査およびアセチルコリン負荷 検査は感度特異度とも高く、信頼性の高い診断 方法である。しかし過去には死亡例の報告もあ り活動性の高い症例や多枝冠攣縮例では血圧低 下、重症不整脈、心停止を来たすことがあり、 十分な対応が出来るようにすべきである。いず れの負荷検査も感度を上げるためカルシウム拮 抗薬を内服している場合は2 日以上中止するこ とが必要であり、薬剤中止により発作時の増悪 を来す場合は入院下で休薬を考える。

アセチルコリンは強力な血管平滑筋収縮作用 があるが、正常内皮ではNO を放出させて血管 を拡張させる。冠攣縮性狭心症の診断では感度 89 〜 93 %、特異度100 %と言われており、冠 攣縮が証明されたら診断は確実である。作用時 間が短いため冠攣縮が起こっても自然寛解が多 く、亜硝酸薬を使用せずに対側枝の負荷検査も 行えるため多枝冠攣縮の診断に有用である。

エルゴノビンはセロトニンとα受容体を介し た強力な血管平滑筋収縮作用を持つ。冠攣縮性 狭心症での自然発作とエルゴノビン負荷での冠 攣縮がほぼ同じであることが判明しており診断 に有用である。そのため自然発作と同様に遷延 することがあり、重篤な不整脈や血圧低下をき たす事がある。

また冠攣縮を来たす血管は冠動脈造影では正 常血管にみえても血管内超音波IVUS で観察す ると動脈硬化が存在することが知られている。 特に限局的に攣縮を来たす部位は周辺よりも動 脈硬化巣が厚く、攣縮による血管径の縮小が出 現しやすいと考えられている。また病変部はむ しろ石灰化は少なく、その末梢は血管径が縮小 している特徴がある。

ガイドラインによる冠攣縮性狭心症の診断基 準は以下の通りである。(図2)

図2

図2:冠攣縮性狭心症の診断フローチャートについて示す。
発作時の心電図変化で3 つに分けて誘発試験を行う必要性を判断している。

1)確定:発作時の心電図で明らかな虚血性変化が認められた場合。

または発作時の心電図変化が境界域である が冠攣縮誘発試験が陽性の場合。

2)疑い:発作時の心電図が境界域であり冠攣縮誘発試験が陽性ではない場合。

または次の4 つの項目の1 つでも満たされた場合。

夜間から早朝にかけて起こる安静時胸痛、 運動耐容能の著明な日内変動、過換気により 誘発される、カルシウム拮抗薬で抑制される がβ遮断薬では抑制されない。

3)否定的: 発作時の心電図変化が陰性で上記の4 項目のいずれも当てはまらない場合

ここで問題なのは誘発試験が陰性だからと言って完全に否定できないことである。症状 があるなら疑って薬物の効果をみながら経過 観察する必要がある。

冠攣縮性狭心症の治療

○生活管理と危険因子の是正

冠攣縮性狭心症は初期の動脈硬化による血管 内皮障害が関連していることから、動脈硬化の 危険因子の是正は重要である。特に喫煙との関 連性は強いため禁煙が重要な治療となる。

その他にはストレスや寒冷でも狭心症発作が 誘発されるためストレスの回避や早朝の寒冷を 避けることも重要である。

また冠攣縮性狭心症は耐糖能障害の多いこ とが知られており、高インスリン血症との関連 が示唆されている。しかし糖尿病が進展すると 相対的にインスリンが低下し、動脈硬化病変 に石灰化が合併するとむしろ冠攣縮を来たし難 くなる。

脂質異常では前述したように器質的な冠動脈 狭窄患者よりも総コレステロールやLDL コレ ステロールは低いことが知られており、むしろ HDL コレステロールが低いのが特徴である。 最近はスタチンが冠攣縮の予防に有用との報告 があり、スタチンによる血管内皮機能の改善に よるものと考えられている。

精神的ストレスがきっかけで冠攣縮が頻発す る場合のあることが知られており、ストレスに よる過換気も冠攣縮を誘発する。

○薬物療法

硝酸薬は生体内でNO に変換され、NO が GTP からcGMP への変換を促し血管平滑筋の 弛緩を来たす。冠攣縮性狭心症では冠動脈内皮 機能が障害されており、NO の産生低下がある ため、それを補う硝酸薬は有効性が高い。また 硝酸薬はNO を介してRho キナーゼ活性を抑制 することが示唆されており、この作用はカルシ ウム拮抗薬にはなく、血管拡張作用もカルシウ ム拮抗薬よりも硝酸薬が大きいことが知られて いる。

カルシウム拮抗薬は血管平滑筋の細胞内Ca 流入を抑制し血管平滑筋の弛緩を来たす。強力 な血管弛緩作用があり、長時間作用のカルシウ ム拮抗薬もあり、冠攣縮の予防に極めて有効で ある。カルシウム拮抗薬は種類により予後改善 作用に差があるとの報告もあるが、明らかなエ ビデンスはない。またカルシウム拮抗薬を中止 すると症状が増悪するリバウンド現象があるこ とが知られており、中止する場合は段階的に減 量する必要がある。また自然寛解があることも 知られており、一定期間のカルシウム拮抗薬治 療後に中止しても発作が生じないことがある。 しかし中止後に再発した報告もあり、カルシウ ム拮抗薬の中止は慎重に判断する必要がある。

ニコランジルは本邦で開発された薬剤であ り、血管平滑筋でのカリウム透過性亢進による 細胞内カルシウム流入の抑制、cGMP を介する 細胞外へのカルシウム流出促進など、硝酸薬作 用に加えてカルシウム拮抗薬とは異なる機序で あるため、カルシウム拮抗薬に治療抵抗性の冠 攣縮性狭心症に併用することで効果が期待でき る。またニコランジルは、徐脈や血圧が低い場 合にも使用可能であり、血行動態に与える影響 が少ないのが特徴である。

β遮断薬は血圧や心拍数を抑制し心筋酸素消 費量を低下させるが、α受容体優位となり冠血 管の収縮を起こしやすく、予後を悪化させるこ とが知られている。器質的な狭窄を合併する例 には有用性はあるが、カルシウム拮抗薬や硝酸 薬との併用が必要である。

冠攣縮性狭心症では酸化ストレスが亢進しビ タミンE の濃度が低下していることが報告され ており、ビタミンE の投与により発作回数が減 少した報告もある。またビタミンC は内皮改善 作用がありアセチルコリンによる冠攣縮を軽減 することも知られている。いずれもエビデンス がはっきりした薬剤ではないが、カルシウム拮 抗薬や硝酸薬でも効果不十分の場合は追加を試 みても良いかもしれない。

また特殊な例として気管支喘息を合併した難 治性の冠攣縮性狭心症でステロイドが有効であったとの報告がある。好酸球増多と冠攣縮の関 連も言われており、他剤で無効な難治性冠攣縮 では有用な例がある。

○冠動脈インターベンション(PCI)

欧米では器質的な冠動脈狭窄に冠攣縮を合併 することが多く、PCI は通常の狭窄病変と同様 に有用と考えられる。しかし日本では軽度の狭 窄病変部位に冠攣縮が起こることが多く、通常 のPCI では術後に冠攣縮が起こりやすくなり、 Ca 拮抗薬の継続が必要である。また冠攣縮性 狭心症が治療抵抗性でステント留置により改善 したとの報告もあるが、一般にステント留置部 位の近傍では逆に冠攣縮が起こりやすくなるこ とが知られており、有意な器質的狭窄のない冠 攣縮性狭心症ではPCI の適応とはならない。

難治性冠攣縮性狭心症について

2 種類以上の冠血管拡張薬を投与しても狭心 症がコントロールできない症例を難治性冠攣縮 性狭心症と呼んでいる。この難治性では若年の 喫煙者で正常血圧者が多いと言われている。再 入院も多く、胸痛とともにめまい、失神を伴う ことがあり、房室ブロックや心室細動による致 死的な転帰となることがある。薬物療法でもカ ルシウム拮抗薬の種類により予後の違いがある ことも示唆されており、難治性の場合は他のカ ルシウム拮抗薬への変更や追加、亜硝酸薬やニ コランジルとの併用、ビタミンE、ビタミンC の追加など個々の症例に応じて試みる必要があ る。それでも胸痛を頻発し失神や心室細動を来 たす場合は植え込み型除細動器の使用例が報告 されているが、その適応については議論がある。 今後Rho キナーゼ阻害薬などの新しい薬物によ り発作が予防できる可能性が期待されている。

症例提示:

当院で経験した難治性で不幸な転帰となった 症例を提示する。

38 歳女性:

2004 年より胸痛と動悸を自覚するようになっ た。近医を受診。特に異常は指摘されず経過観 察となった。その後頻度が徐々に増強していた。

2010 年2 月安静時に胸痛が出現し冷汗を伴 なった。30 分持続したため救急車を要請。救 急車内で心室細動となり、除細動で心拍再開し 当院搬送となった。

生活歴:喫煙1PPD × 20 年。家族歴:突然死の家族歴なし。

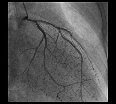
来院時の心電図ではv1 〜 v5 までST 低下所 見を示し、心筋虚血が疑われた(図3)。同日緊 急CAG を施行したところLMT からLAD にか けて狭窄を認めたが(図4)、硝酸イソソルビドの冠動脈注入で狭窄は拡張し改善した(図5)。

図3

図3 :発作時と改善時の心電図所見を示す。U、V、aVF、V4-V6 で明らかなST 低下を示している。ST 上昇を示さず異型狭心症ではない。

図4

図4 :緊急CAG 所見を示す。誘発試験は行っていないが、自然発作でLMT は50 〜 75 %程度の狭窄、LAD just proximal が90 %の狭窄を示している。

図5

図5 : ISDN 冠動脈注入後のCAG。LMT からLAD は拡張しており、器質的な狭窄はない。

冠攣縮性狭心症と左室肥大と判断しジルチア ゼムとトランドラプリルを開始。左室造影では EF70 %、肥大型心筋症の疑いもあり心筋生検 を施行したが非特異的変化のみで特に明らかな 変化はなかった。

その後も胸痛を繰り返し、ベニジピン、硝酸 イソソルビド、ニコランジルを追加したが薬物 療法の効果が不十分であった。心室細動の蘇生 後でありICD 植え込みを勧めたが、同意を得 られず、外来で薬物療法を継続していた。しか しその後も薬物療法の増量に関わらず胸痛が頻 発、11 月になり朝起床しないため家族が確認 したところ死亡していた。

このように冠攣縮でも難治性では発作時の心 室頻拍、心室細動により突然死する例がある。 また日本人は夜間の突然死の頻度も高く、冠攣 縮の関与が示唆されている。

冠攣縮性狭心症はその症状や発症に特徴があ るため、問診が極めて重要であり、まずは疑っ て検査を進めなければ診断できない。その病態 を理解し早期に診断し対処する事で一般には十 分治療可能な疾患であり、初診で診察する医師 の判断が重要である。

参考文献
1)循環器病の診断と治療に関するガイドライン(2006−2007 年度合同研究班報告) 冠攣縮性狭心症の診断と治療に関するガイドラインCirc J 2008,72( Suppl. IV),1195-1238
2)砂川長彦: syndrome X 診断と治療増刊号症候群事典1998、86(supple) 221
3)Osahiko Sunagawa, Yuzuru Shinzato, Takashi Touma, Masayuki Tomori, and Koshiro Fukiyama: Differences between coronary hyperresponsiveness to ergonovine and vasospastic angina. Jpn Heart J 2000,42(3)



Q U E S T I O N !

次の問題に対し、ハガキ(本巻末綴じ)でご回答いただいた方で6割(5問中3問)以上正解した方に、 日医生涯教育講座0.5単位、1カリキュラムコード(42.胸痛)を付与いたします。

問題
次の設問1 〜 5 に対し、○か×印でお答え下さい。

  • 冠攣縮は動脈硬化のない正常血管で起こる。
  • アルコールは血管拡張作用があるため飲酒後の冠攣縮は稀である。
  • 冠攣縮性狭心症は突然死の原因となる。
  • 喫煙やマリファナ、コカインが冠攣縮の原因となることがある。
  • 冠攣縮性狭心症では血管内皮障害があるためニトログリセリンは無効である。

CORRECT ANSWER! 12月号(Vol.46)の正解

間質性肺炎の診断と治療

問題
間質性肺炎に関する次の設問1 〜 5 に対し、○(正しい)か×(誤り)でお答えください。

  • 問診にて、喫煙歴,薬物内服歴(健康食品、サプリメントおよび漢方薬を含む)、職業歴、生活歴(家屋の状態や寝具など)、家族歴を聴取することにより、特発性以外のびまん性肺疾患を除外することが大切である。
  • 聴診上fine crackles(乾性ラ音,捻髪音): 90 %以上に聴取される。
  • 間質性肺炎の診断にCT 検査は非常に有用である。
  • 間質性肺炎の診断にVATS は必須検査である。
  • 抗線維化薬ピルフェニドン(ピレスパ)は特発性間質性肺炎の7 臨床病型に適応があり、予後を改善することが証明されている。

正解 1.○ 2.○ 3.○ 4.× 5.×